Cabinet Dentaire L'Hibiscus
Cabinet dentaire du Docteur NGOULLA LOWE à Douala (15017)
Cabinet Dentaire L'Hibiscus
Cabinet dentaire du Docteur NGOULLA LOWE à Douala (15017)

Les prothèses

Maxillaire all-on-6 et comblement de sinus

Maxillaire all-on-6 et comblement de sinus

Maxillaire : all-on-4

Maxillaire : all-on-4

Comblement de sinus par voie latérale et implantation simultanée

Comblement de sinus par voie latérale et implantation simultanée

Mandibule complète et traitement implantaire pour un bridge fixe vissé

Mandibule complète et traitement implantaire pour un bridge fixe vissé

Mandibule : all-on-4

Mandibule : all-on-4

Maxillaire complet et traitement implantaire pour un bridge fixe scellé

Maxillaire complet et traitement implantaire pour un bridge fixe scellé

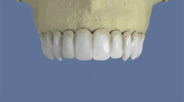
Maxillaire : bridge complet scellé sans fausse gencive

Maxillaire : bridge complet scellé sans fausse gencive

Mandibule complète et traitement implantaire pour un bridge fixe scellé

Mandibule complète et traitement implantaire pour un bridge fixe scellé

Maxillaire : bridge vissé sans fausse gencive

Maxillaire : bridge vissé sans fausse gencive

Bridge collé

Bridge collé

Maxillaire complet et traitement implantaire pour un bridge fixe vissé

Maxillaire complet et traitement implantaire pour un bridge fixe vissé

Comblement de sinus par abord latéral sans pose d’implant

Comblement de sinus par abord latéral sans pose d’implant

Affichage des articles 1-12 sur 40

Création par Webdentiste

Connexion